MERIVALE MEDICAL IMAGING

ABOUT US

Providing high-quality outpatient diagnostic imaging to support informed healthcare decisions across Ottawa and surrounding communities

Who We Are

Merivale Medical Imaging (MMI) is an independent diagnostic imaging centre offering a comprehensive range of outpatient imaging services. For nearly four decades, we have supported patients and referring physicians with timely, accurate imaging in a professional and welcoming environment.

Operating Since

1000

Established & Accredited

Accredited Programs
0
Locations
0
Years of Service
0 +

Decades of Experience in Diagnostic Imaging

Founded in 1986, Merivale Medical Imaging is owned and operated by an experienced team of radiologists. Our physicians work closely with highly trained technologists, supported by ongoing education and clinical oversight, to ensure every exam meets rigorous diagnostic and quality standards.

Comprehensive Diagnostic Imaging Services

mmi-mri-merivale-medical-imaging.webp

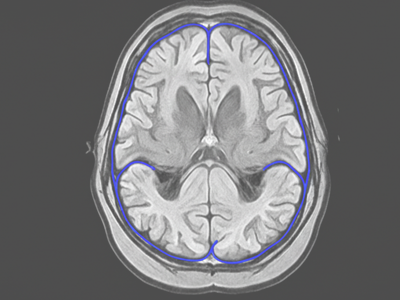
MRI

mmi-ct-merivale-medical-imaging.webp

CT

Preventative Health MRI

mmi-general-ultrasound-merivale-medical-imaging.webp

General Ultrasound

mmi-vascular-ultrasound-merivale-medical-imaging.webp

Vascular Ultrasound / ABI

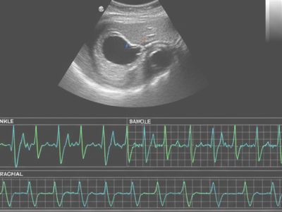
mmi-echocardiogram-merivale-medical-imaging.webp

Echocardiogram

mmi-liver-elastography-merivale-medical-imaging.webp

Liver Elastography

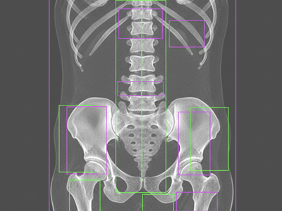
mmi-bmd-merivale-medical-imaging.webp

Bone Mineral Density (BMD/DEXA)

MMI-mammography-obsp-MMI-mammography-mmi-xray-merivale-medical-imaging.webp

Mammography & OBSP

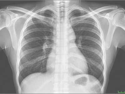
X-Rays

mmi-nuclear-medicine-merivale-medical-imaging.webp

Nuclear Medicine

mmi-nuclear-bone-scan-merivale-medical-imaging.webp

Nuclear Bone Scan

mmi-mycardial-pi-merivale-medical-imaging.webp

Myocardial Perfusion Imaging

medical-imaging-research.webp

Medical Imaging Research

Accreditation, Quality Assurance, and Regulatory Oversight

Merivale Medical Imaging maintains a strong commitment to quality, safety, and accountability through ongoing accreditation and regulatory oversight. As an Independent Health Facility (IHF), MMI operates under the Independent Health Facilities Act and undergoes regular quality assessments and inspections conducted by the College of Physicians and Surgeons of Ontario (CPSO).

In addition to provincial oversight, MMI voluntarily participates in multiple national accreditation programs, reflecting adherence to established clinical, technical, and quality assurance standards across imaging modalities.

mammo seal
aium

What Patients Can Expect

Where clinically appropriate, appointments may be coordinated to support patient convenience.

Timely Appointments

Short wait times and reliable scheduling.

Digital Imaging Technology

Modern, fully digital diagnostic equipment.

Clinical Expertise

Experienced technologists and radiologists.

Professional Care Environment

Respectful, patient-focused clinic setting.

Extended Clinic Hours

Appointments available beyond standard weekdays.

Convenient Access Across the Ottawa Region

Merivale Medical Imaging operates multiple locations across the Ottawa region, including Nepean, Kanata, and Limoges, providing convenient access to diagnostic imaging services for patients in surrounding communities.